Skip links
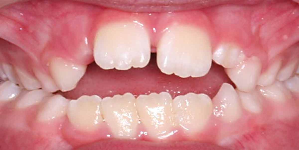
Parmak emme alışkanlığının çocuklarda diş dizilimi ve ağız yapısı üzerindeki etkilerini gösteren görsel.

Parmak Emme ve Ağız Yapısı Üzerine Etkileri

Parmak emme, bebeklik ve erken çocukluk döneminde sıkça görülen doğal davranışlardan biridir. Bu davranış, çoğu zaman çocuğun kendini güvende hissetmesini sağlayan refleksif bir alışkanlık olarak ortaya çıkar. Ancak parmak emmenin belirli bir yaşın ötesinde devam etmesi, ağız ve diş sağlığı açısından bazı yapısal değişikliklere yol açabilir. Özellikle büyüme ve gelişim döneminde devam eden parmak emme alışkanlığı, çene gelişimini ve diş dizilimini etkileyebilen önemli bir faktör olarak değerlendirilir.

Ebeveynler için en sık sorulan sorulardan biri, parmak emmenin ne zaman normal kabul edildiği ve hangi noktadan sonra ağız yapısı üzerinde olumsuz etkiler oluşturabileceğidir.

Parmak Emme Nedir?

Parmak emme, bebeğin veya çocuğun parmağını ağız içine alarak emme hareketi yapmasıdır. Bu davranış, emme refleksinin doğal bir uzantısıdır ve özellikle yaşamın ilk yıllarında sık görülür. Parmak emme, beslenme dışı emme davranışları arasında yer alır ve çoğu çocukta zamanla kendiliğinden azalır.

Bu alışkanlık:

  • Sakinleşme

  • Güven duygusu

  • Uykuya geçişi kolaylaştırma

gibi amaçlarla ortaya çıkabilir. Erken yaşlarda görülen parmak emme, çoğu zaman gelişimin normal bir parçası olarak değerlendirilir.

Parmak Emme Ne Zamana Kadar Normal Kabul Edilir?

Parmak emme alışkanlığının değerlendirilmesinde süre ve sıklık önemli kriterlerdir. Genel olarak:

  • 0–2 yaş: Parmak emme bu dönemde fizyolojik kabul edilir.

  • 2–4 yaş: Alışkanlık devam edebilir, ancak çoğu çocukta azalma eğilimi görülür.

  • 4 yaş ve sonrası: Alışkanlığın devam etmesi, ağız ve diş yapısı açısından risk oluşturabilir.

Özellikle kalıcı dişlerin sürmeye başladığı dönemde parmak emmenin sürmesi, diş dizilimi ve çene gelişimi üzerinde belirgin etkiler oluşturabilir.

Parmak Emmenin Ağız Yapısı Üzerindeki Etkileri

Parmak emme alışkanlığı, ağız içindeki yapıların uzun süreli ve tekrarlayan kuvvetlere maruz kalmasına neden olur. Bu kuvvetler, gelişim çağındaki kemik ve diş yapıları üzerinde şekillendirici etki gösterebilir.

Diş Dizilimi Üzerindeki Etkiler

Parmak emme sırasında parmak, ön dişlere ve damağa sürekli baskı uygular. Bu durum:

  • Ön dişlerin öne doğru eğilmesine

  • Üst ve alt dişler arasında açıklık oluşmasına

  • Dişlerin ideal konumlarından sapmasına

neden olabilir. Özellikle üst ön dişlerde ileri doğru konumlanma sık gözlemlenen etkiler arasındadır.

Açık Kapanış (Open Bite)

Uzun süreli parmak emme alışkanlığı, ön açık kapanış olarak adlandırılan bir durumun gelişmesine yol açabilir. Bu durumda, çocuk ağzını kapattığında ön dişler arasında boşluk kalır ve dişler tam temas edemez.

Açık kapanış:

  • Çiğneme fonksiyonunu etkileyebilir

  • Konuşma sırasında seslerin doğru çıkarılmasını zorlaştırabilir

  • Estetik açıdan fark edilebilir bir görünüm oluşturabilir

Üst Çene ve Damak Yapısına Etkileri

Parmak emme sırasında parmağın damağa yaptığı basınç, üst çenenin şekillenmesini etkileyebilir. Bu durum:

  • Damakta daralma

  • Damak kubbesinin normalden daha yüksek hale gelmesi

  • Üst çenenin yanlara doğru yeterince gelişememesi

gibi yapısal değişikliklere yol açabilir. Damak yapısındaki bu değişimler, ilerleyen dönemlerde ortodontik sorunlara zemin hazırlayabilir.

Alt Çene Pozisyonu Üzerindeki Etkiler

Parmak emme alışkanlığı, alt çenenin konumunu da dolaylı olarak etkileyebilir. Sürekli emme hareketi sırasında alt çene geride konumlanabilir. Bu durum, çene ilişkilerinde dengesizliklere yol açabilir.

Parmak Emmenin Konuşma Üzerindeki Etkileri

Ağız yapısındaki değişiklikler, konuşma fonksiyonunu da etkileyebilir. Özellikle ön dişler arasındaki açıklık ve damak yapısındaki değişimler, bazı seslerin doğru telaffuz edilmesini zorlaştırabilir.

Bu durum:

  • Peltek konuşma

  • Bazı harflerin yanlış çıkarılması

gibi konuşma sorunlarına zemin hazırlayabilir. Ancak her parmak emen çocukta konuşma problemi gelişeceği anlamına gelmez.

Parmak Emme ve Yutkunma Alışkanlığı

Parmak emme alışkanlığı, yutkunma sırasında dilin konumunu da etkileyebilir. Normalde dil, yutkunma sırasında damağa doğru yerleşir. Parmak emme alışkanlığı olan çocuklarda ise dilin öne itilmesi gibi farklı yutkunma alışkanlıkları gelişebilir.

Bu durum, diş ve çene yapısındaki değişimleri pekiştirebilir.

Parmak Emmenin Psikolojik Boyutu

Parmak emme yalnızca fiziksel bir alışkanlık olarak değerlendirilmemelidir. Çoğu çocuk için bu davranış, duygusal bir rahatlama aracıdır. Ani ve baskıcı müdahaleler, çocuğun stres seviyesini artırabilir.

Bu nedenle parmak emme alışkanlığı değerlendirilirken:

  • Çocuğun duygusal durumu

  • Alışkanlığın ne zaman ve hangi durumlarda ortaya çıktığı

gibi faktörler göz önünde bulundurulmalıdır.

Parmak Emme Her Çocukta Aynı Etkiyi Gösterir mi?

Parmak emmenin ağız yapısı üzerindeki etkileri her çocukta aynı şekilde ortaya çıkmaz. Etki derecesi şu faktörlere bağlıdır:

  • Alışkanlığın süresi

  • Gün içindeki sıklığı

  • Emme sırasında uygulanan kuvvet

  • Çocuğun büyüme ve gelişim özellikleri

Kısa süreli ve seyrek parmak emme, genellikle kalıcı yapısal değişikliklere yol açmaz.

Parmak Emme Alışkanlığının Azalması ve Kendiliğinden Bırakılması

Birçok çocuk, parmak emme alışkanlığını zamanla kendiliğinden bırakır. Bu süreçte sabırlı ve destekleyici bir yaklaşım önemlidir. Çocuğun büyüme süreci ve sosyal gelişimiyle birlikte bu alışkanlık doğal olarak azalabilir.

Ebeveynlerin Dikkat Etmesi Gereken Noktalar

Parmak emme alışkanlığı olan çocuklarda ebeveynlerin dikkat etmesi gereken bazı temel noktalar vardır.

  • Alışkanlığın süresi ve sıklığı gözlemlenmelidir

  • Baskıcı ve cezalandırıcı tutumlardan kaçınılmalıdır

  • Çocuğun duygusal ihtiyaçları dikkate alınmalıdır

  • Ağız ve diş gelişimi düzenli olarak izlenmelidir

Bu yaklaşım, hem fiziksel hem de duygusal açıdan sağlıklı bir süreç sağlar.

Ağız ve Diş Gelişiminin Takibi

Parmak emme alışkanlığının ağız yapısı üzerindeki etkilerinin değerlendirilmesi, düzenli ağız ve diş kontrolleriyle mümkündür. Erken dönemde fark edilen yapısal değişiklikler, ileride daha kapsamlı müdahalelerin önüne geçebilir.

Parmak Emme ve Ortodontik İlişki

Uzun süreli parmak emme alışkanlığı olan çocuklarda, ilerleyen yaşlarda ortodontik değerlendirme gerekebilir. Ancak bu durum, her çocuk için zorunlu bir sonuç değildir. Erken dönemde alışkanlığın azalması veya bırakılması, yapısal değişimlerin büyük ölçüde kendiliğinden düzelmesine katkı sağlayabilir.

Bilinçli ve Dengeli Yaklaşımın Önemi

Parmak emme, çocuk gelişiminin doğal bir parçası olarak başlayabilir. Ancak belirli bir yaştan sonra devam etmesi durumunda ağız yapısı üzerinde etkiler oluşturabileceği unutulmamalıdır. Bu nedenle parmak emme alışkanlığı, ne tamamen görmezden gelinmeli ne de aşırı endişe kaynağı haline getirilmelidir.

Parmak emme alışkanlığı, erken çocukluk döneminde normal kabul edilen bir davranış olmakla birlikte, uzun süre devam ettiğinde ağız ve diş yapısı üzerinde çeşitli etkiler oluşturabilir. Diş dizilimi, çene gelişimi ve damak yapısı bu alışkanlıktan etkilenebilecek başlıca alanlardır. Alışkanlığın süresi, sıklığı ve şiddeti, oluşabilecek etkilerin derecesini belirleyen önemli faktörlerdir.

Bilinçli gözlem, sabırlı yaklaşım ve düzenli ağız–diş gelişimi takibi, parmak emmenin olası olumsuz etkilerinin önlenmesinde önemli rol oynar.

Leave a comment